Cosmetic Dentistry Services

Enhance your smile with our range of cosmetic dentistry treatments

Professional Teeth Whitening

Brighten your smile with our professional teeth whitening services. We offer both in-office and take-home whitening options to suit your needs and lifestyle.

Porcelain Veneers

Transform your smile with custom-made porcelain veneers. These thin shells are designed to cover the front surface of your teeth, improving their appearance and correcting issues such as discoloration, chips, or misalignment.

Comprehensive Smile Makeover

Our comprehensive smile makeover combines multiple cosmetic treatments to achieve your dream smile. This may include a combination of whitening, veneers, bonding, and other procedures tailored to your specific needs.

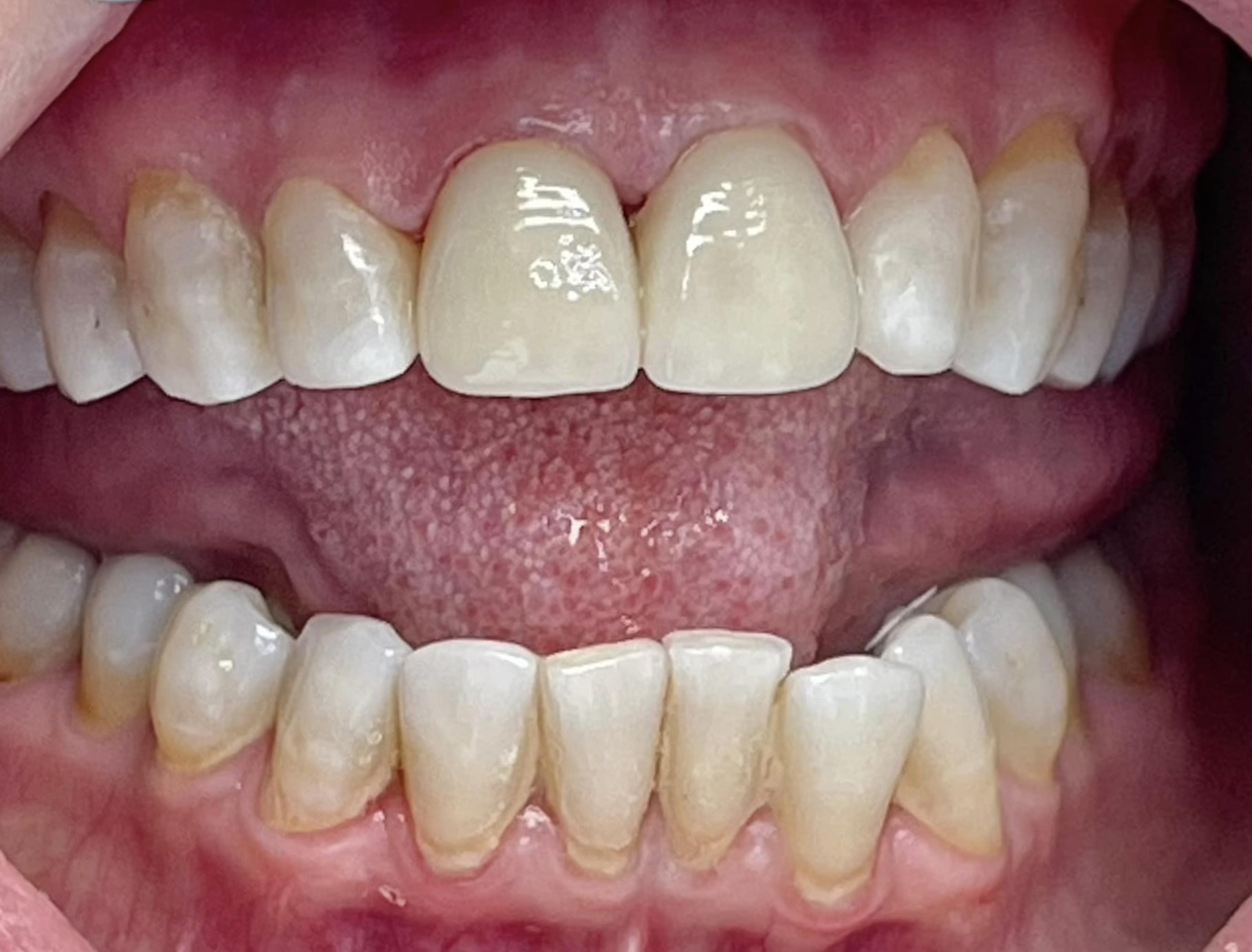
Case Study: Complete Smile Transformation

This patient underwent a full smile makeover, including teeth whitening and porcelain veneers, resulting in a dramatically improved appearance.