Dental Implants

Dental implants are the gold standard for replacing missing teeth, providing a permanent solution that looks, feels, and functions like natural teeth. At YorkMed Dentistry, we use the latest technology and materials to place implants that restore your smile and improve your oral health. Implants are anchored into the jawbone, where they fuse with the bone to provide a stable foundation for artificial teeth.

Whether you're missing one tooth or several, implants can restore your ability to eat, speak, and smile with confidence. Our team will guide you through every step of the process, from the initial consultation to the final restoration, ensuring that your implants meet your expectations.

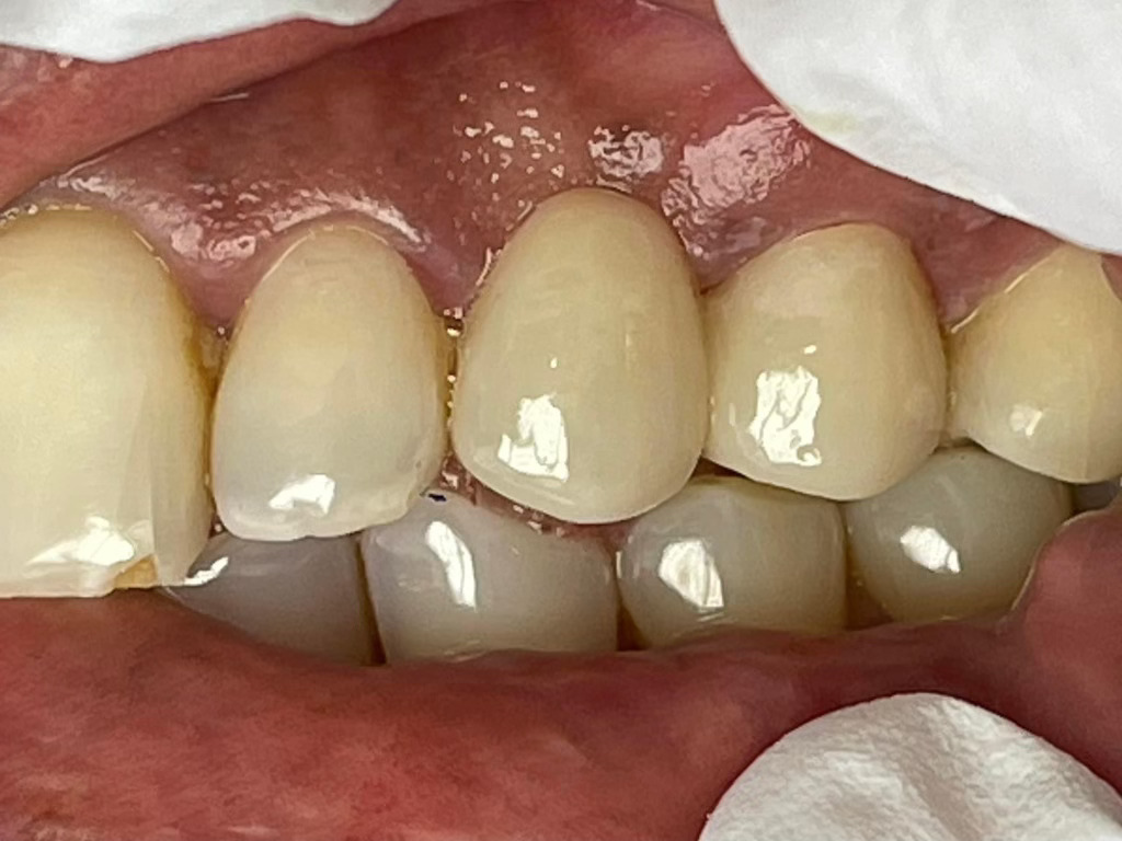
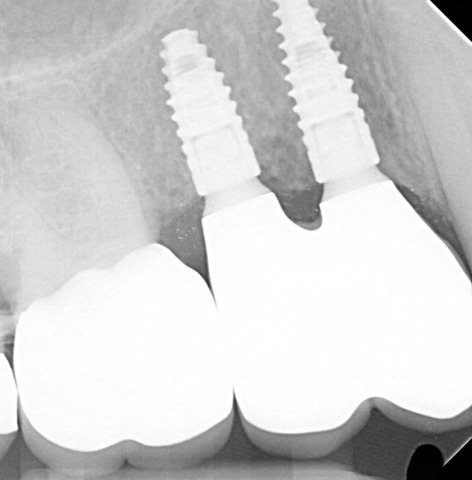
Case Study: Dental Implant

A patient with a missing tooth received a dental implant, restoring both function and aesthetics.

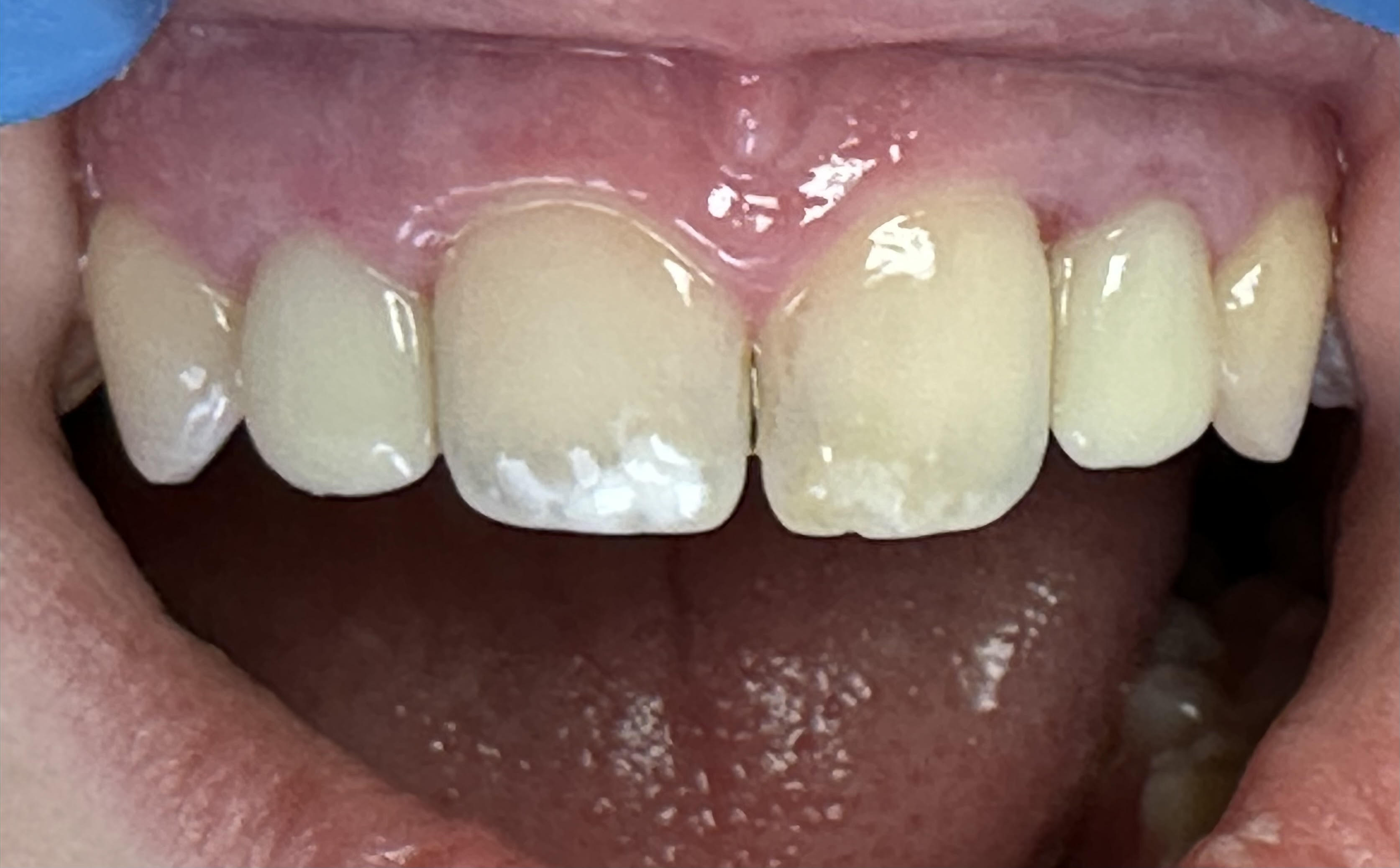
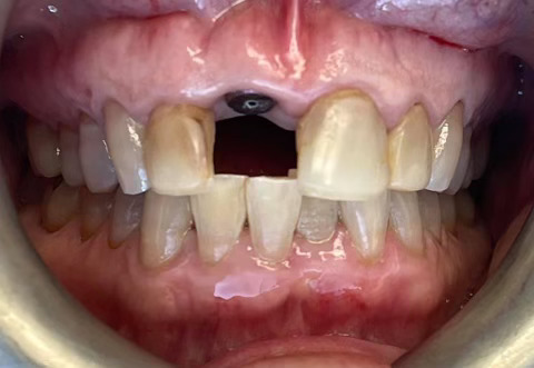
Case Study: Dental Implant

A patient with a missing tooth received a dental implant, restoring both function and aesthetics.

Dentures

Dentures are a removable solution for replacing missing teeth. Whether you need full or partial dentures, YorkMed Dentistry offers custom-fitted options to restore your ability to eat, speak, and smile with confidence. Our dentures are designed for maximum comfort and functionality, giving you a natural-looking smile.

We provide thorough guidance on caring for your dentures to ensure they last and continue to provide you with the support you need.

Case Study: Dentures

Generate some text here.

Dental Bridges

Dental bridges are used to replace one or more missing teeth, literally bridging the gap left by lost teeth. Bridges are anchored to the surrounding teeth or implants, providing a stable and long-lasting solution. At YorkMed Dentistry, we create bridges that blend seamlessly with your natural teeth, restoring both the appearance and function of your smile.

Bridges not only help you chew and speak properly but also prevent remaining teeth from shifting, which can cause further dental problems.

Case Study: Dental Bridges

Generate some text here.

Case Study: Dental Bridges

Generate some text here.

Case Study: Crowns

Generate some text here.