Partial & Full Mouth Reconstruction

Comprehensive solutions for extensive dental issues, restoring your smile and improving your overall oral health with partial or full mouth reconstruction.

Years of wear and tear, unhealthy oral health habits, and injuries can affect your mouth and teeth and lead to a less-than-perfect smile. This can impact your speech, chewing ability, and overall self-confidence. Getting a dental makeover through a full or partial mouth reconstruction is an excellent way to regain a bright and healthy smile while correcting associated problems.

Partial Mouth Reconstruction involves replacing or restoring several teeth. A partial reconstruction is just as beneficial as a full mouth reconstruction because we can match or improve the artificial teeth color. When the reconstruction is complete, it will be hard to tell you have artificial teeth.

Full Mouth Reconstruction addresses all of your dental issues, including chips, cracks, stains, tooth decay, and missing teeth. Depending on your needs, you may undergo bonding, crowns, implants, fillings, root canals, veneers, whitening treatments, and inlays and onlays.

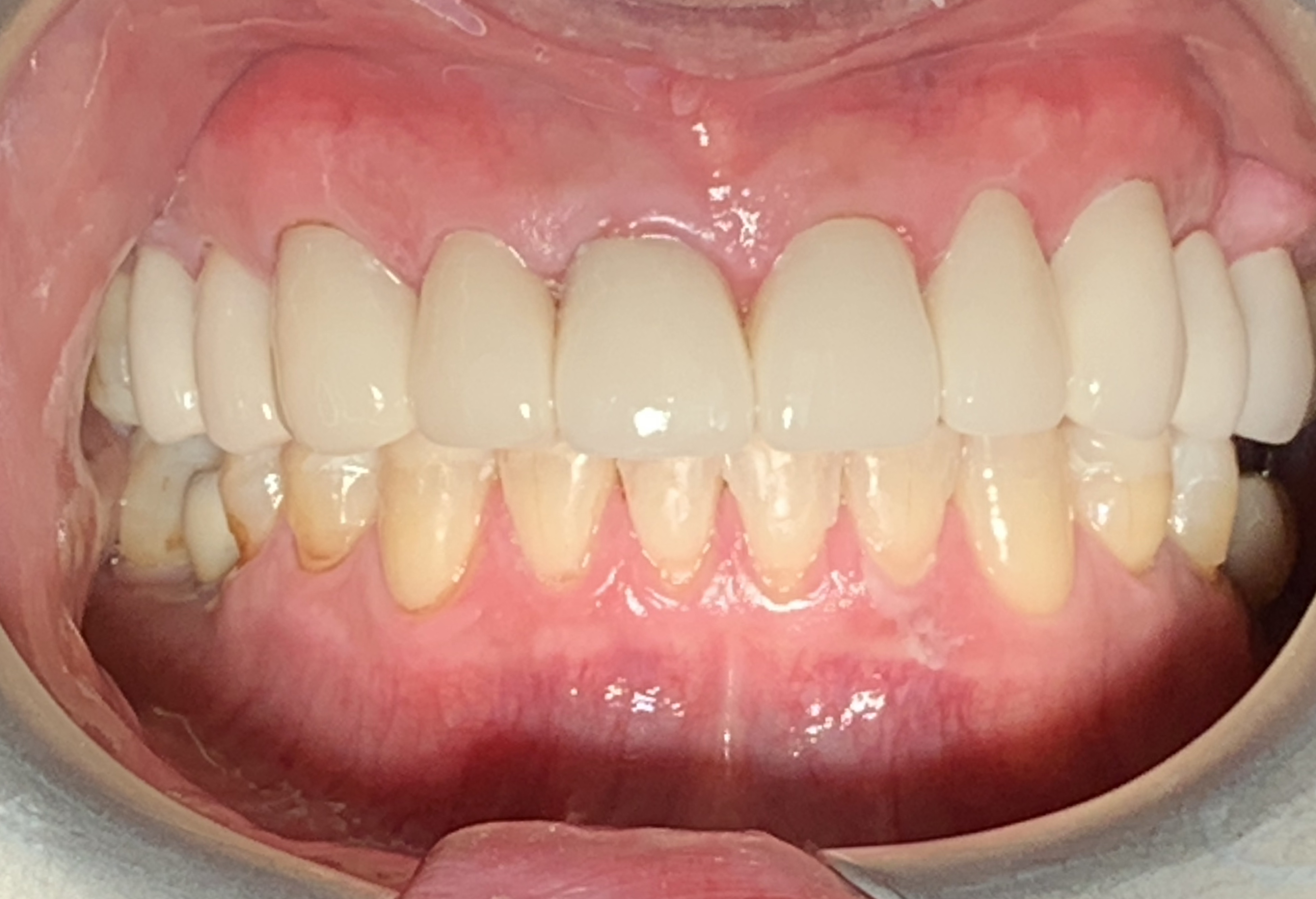
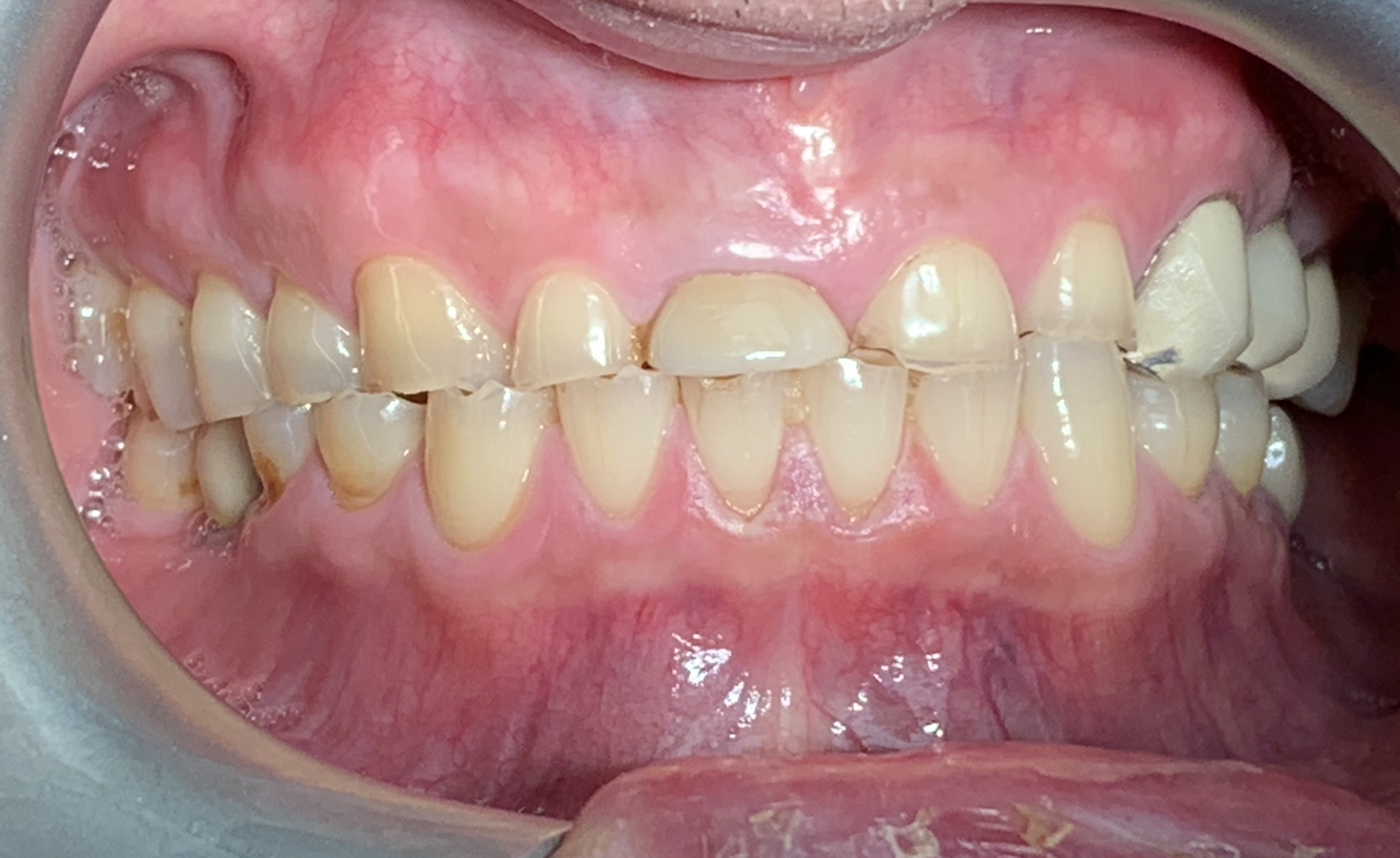
Case Study: Full Mouth Reconstruction

A patient with severe wear and decay underwent a full mouth reconstruction, restoring function and aesthetics.