Orthodontics

We offer orthodontic solutions including braces and clear aligners to correct misaligned teeth and help you achieve a healthier smile.

Clear aligners offer many advantages over traditional braces; both being great options to treat your crooked teeth. Determining the best option depends on your case, so we will sit and discuss which is best suited for you.

Orthodontic treatment (phase one or early treatment) normally begins around age eight or nine. Phase two will begin around age 11 or older. If you see abnormalities in your child’s bite, we can assess the problem and recommend interceptive treatment, usually achieved by simple fixed or removable appliances.

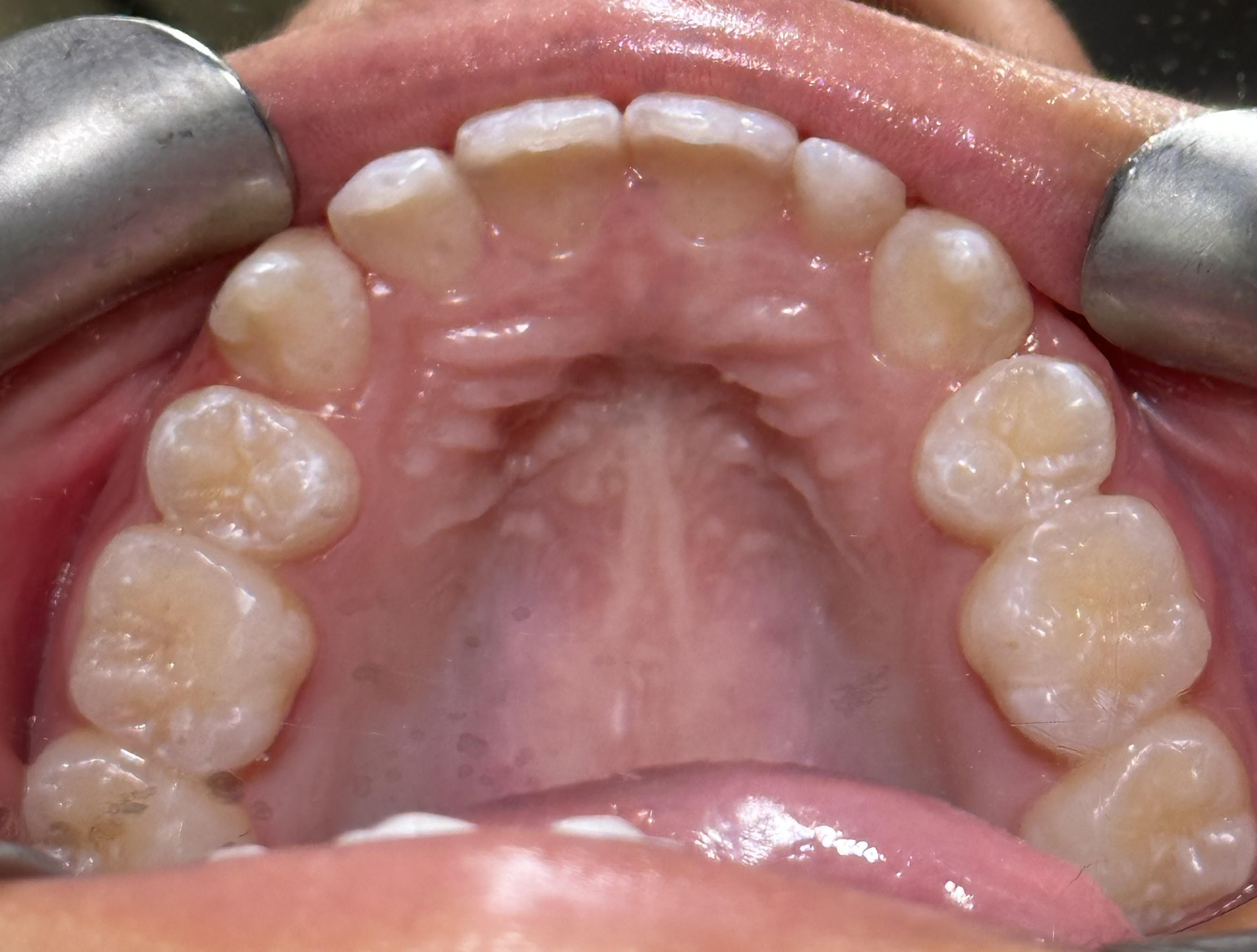
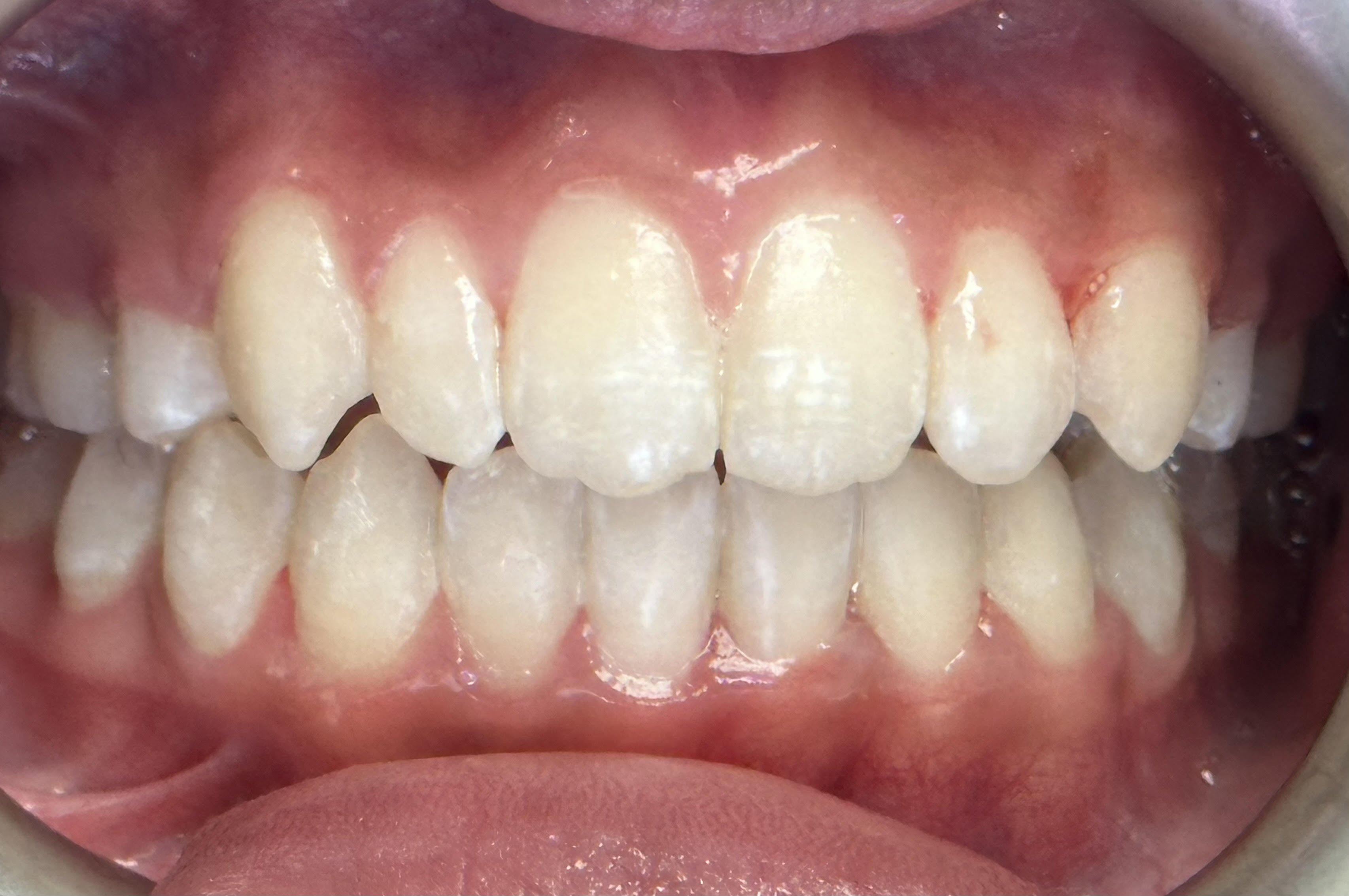
Case Study: Early Orthodontic Treatment

Patient had crowding of her front teeth. We initiated phase one treatment using a removable appliance to create space for proper alignment.